口腔粘膜疾患事業 | 横浜市青葉区の青葉区歯科医師会

  • HOME
  • 口腔粘膜疾患事業

口腔粘膜疾患事業

口腔粘膜疾患事業

監修;横浜総合病院歯科口腔外科 今村栄作(2019年3月1日)

青葉区歯科医師会の口腔粘膜疾患に対する取り組み

青葉区歯科医師会では、年に一度の区民を対象にした口腔がん検診事業を行っております。また、定期的な研修会や口腔粘膜疾患の検討会で、歯科医師会会員の粘膜疾患に対するupdateを常日頃より行っております。

当歯科医師会では大学病院や総合病院口腔外科との連携を密に行い、粘膜疾患の治療や前がん病変、そして口腔癌の早期発見に取り組んでおります。特に口腔癌の早いステージでの発見は、摂食嚥下や発音機能を出来る限り温存することになり、QOLの低下防止に関わってきます。

口腔に発生する粘膜疾患

口腔粘膜とは?

口腔は舌、歯肉、頬粘膜、口腔底、口蓋によって構成されており、機能としては保護、感覚、分泌や熱の調節と言われていますが、硬口蓋のように咀嚼の補助になる硬い粘膜もあります。

また皮膚には外部からの刺激を和らげたり、細菌やウイルスなどの異物の侵入を防ぐ角質層がありますが、口腔内には歯肉や硬口蓋、舌背にのみしっかりとした角質層があり、それ以外は角質層が乏しいか、あるいはありません。角質層の無い粘膜は咀嚼筋や唾液腺などを覆っていて、開口や舌の伸展などに柔軟に対応しています。

口腔は様々な異物侵入の門戸です。ウイルスや細菌(口腔内にも700種と言われる常在菌が存在します)そして、食物を最初に受け入れる場所となります。通常は唾液で湿潤し保護されていますが、常に食物などの外的な刺激と、歯牙や義歯などによる内的な刺激によってさらされており、安静が保ちにくく傷がつきやすい部位でもあります。これらの要因により、様々な口腔粘膜疾患が発生します。

口腔粘膜疾患とは?

口腔内には、口内炎やカンジダ症などの良性の疾患から、悪性腫瘍や前がん病変まで放置しておくと生命を脅かす疾患もあります。またヘルペスや麻疹ウイルスや薬剤アレルギーの初発症状として出現する場合、そして天疱瘡、シェーグレン症候群、特発性血小板減少性紫斑病などの自己免疫疾患でも口腔に特異的な症状を認める場合があります。血液のがんである白血病でも約8%の患者さんは歯肉出血が初発症状ですし、悪性リンパ腫による歯肉腫瘤で疾病が発見される場合もあります。

ただ口腔粘膜は歯周炎による炎症や、食事や咬合、ブラッシングなどによる外的刺激での修飾で、表面性状が変化する場合もあり、初診時の診断に苦慮する場合が少なくありません

色としては、白色調の変化を呈するもの、黒色、赤色、紫色、黄色と様々です。形態は水疱性のものから潰瘍性やカリフラワー状のものまでいろいろあります。 代表的な疾患を下記に示します。

実際の口腔粘膜疾患

口内炎、カンジダなどの良性疾患

口内炎

口内炎
アフタ性口内炎;円形や類円形で、潰瘍面は白色や灰白色の付着物で覆われており、周囲に発赤が取り囲んでいる。1週間程度で改善する場合が多い。(悪性腫瘍では何カ所も出来ない)

舌口内炎

舌口内炎
舌潰瘍(潰瘍性口内炎);潰瘍は口腔粘膜上皮が欠損する状態です。周囲粘膜の発赤と潰瘍表面に白色の偽膜形成が特徴。1〜2週間改善しない場合は注意が必要です。(舌がんや前がん状態の場合もあります。)

ヘルペスウイルスによる口内炎

ヘルペスウイルスによる口内炎
疱疹性歯肉口内炎;ヘルペス性口内炎とも呼ばれ、単純ヘルペスウイルスによって発症し、接触感染や飛沫で感染します。

少し形態が違いますが、帯状疱疹ウイルスによる感染は、疼痛や水疱を口腔粘膜、皮膚に生じ、それが破れてびらんや潰瘍に変化していきます。またEBウイルス、HIVウイルス感染症などでも口内炎が出現します。

カンジダ症

カンジダ症
カンジダはもともと口腔常在菌であり、免疫力の低下や抗菌剤、ステロイドの内服など、いくつかの要因が重なり発症します。ご高齢の方や乳幼児に多いです。好発部位は、頬粘膜、舌、口蓋などです。

表面の乳白色の苔は、ガーゼやティッシュでぬぐい取ることが出来ます。自覚症状が少ない場合が多いですが、疼痛を伴う場合は薬剤による治療が必要です。

前がん状態・前がん病変(口腔潜在的悪性疾患)

白板症

白板症
白板症は、罹患率が平均3%前後と言われており、40歳台以降に多く、喫煙者が非喫煙者の6倍という報告もあります。舌や歯肉、頬粘膜、口蓋など様々な部分に出来ます。

歯で噛んでしまうことやあわない入れ歯による慢性の刺激でも角化による白色病変を呈する場合がありますが、原因がはっきりしていれば、まずはそれを除去することが先決です。白板症は前がん病変の一つです。

口腔扁平苔癬

口腔扁平苔癬
口腔扁平苔癬は、罹患率が0.5〜3%で女性に多いと言われています。白色の網目状、レース状を呈する、ガーゼなどでぬぐい取れない病変で、赤色部分が混在する場合もあります。典型的なものは肉眼所見でも診断できる場合があります。

びらんや潰瘍を伴う場合は、疼痛も自覚します。WHO(世界保健機関)では、前がん状態とし取り扱われており、約2〜3%程度悪性化するとの報告もあります。

 

自己免疫疾患

天疱瘡

天疱瘡
天疱瘡は自己免疫疾患の一つで、皮膚や粘膜の上皮が破壊され水疱を形成します。重症化しますので、改善しない歯肉炎や水疱性の粘膜疾患がありましたら、かかりつけ医にご相談ください。全身的な治療については、皮膚科や内科で行うことになります。

シェーグレン症候群

シェーグレン症候群
シェーグレン症候群は、目や口の乾燥症状を認める疾患です。口腔内の唾液分泌量が低下します。自己免疫疾患の一つであり、様々な全身的疾患を合併する場合もありますので、しっかりとした診断を行っておく必要があります。

悪性腫瘍

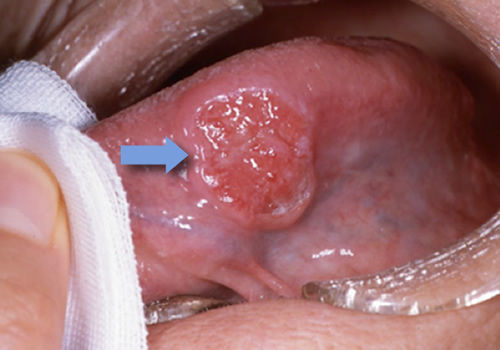
舌がん

舌がん
口腔に発生するがんの50〜60%は舌がんです。舌側縁に多く発症します。隆起性のものや潰瘍性のものなど様々な病態を示します。

疼痛をあまり感じない場合もあります。2週間以上改善しない口内炎や舌の潰瘍を認める場合は、かかりつけ歯科医院に必ずご相談ください。

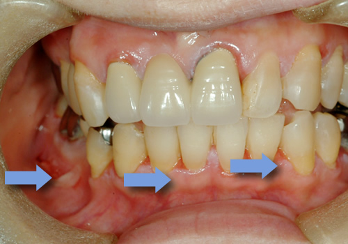
歯肉がん

歯肉がん
歯肉に出来る悪性腫瘍は、下顎が多く、有歯顎(歯のある方)臼歯部(奥歯)によく発生します。疫学的には男性が多いです。

無歯顎(歯が全くない方)の患者さんも多いです。口腔に発生するがんの20%弱程度は歯肉がんです。

悪性リンパ腫

悪性リンパ腫
造血器のがんも、口腔内に症状が出ることがあります。悪性リンパ腫は、隆起性の病変として出現することが多く、色も正常と違う場合があります。首のリンパ節が腫れる場合が多いです。白血病は継続する歯肉からの出血や鼻血が特徴です。

青葉区歯科医師会の歯科医院で行う治療や検査について

口腔内に粘膜疾患や疼痛などの異常を認めましたら、まずはかかりつけ歯科医院の主治医にご相談ください。口内炎や舌炎の場合は含嗽剤や軟膏製剤の処方をいたします。歯科医院によってはルゴール液などの染め出しによる検査、細胞診や組織診による検査を行う場合があります。

粘膜疾患が改善しない場合や前がん病変、状態が疑われる場合は、高次医療機関にご紹介をさせていただきます。

ページの先頭に戻る
PAGE TOP